
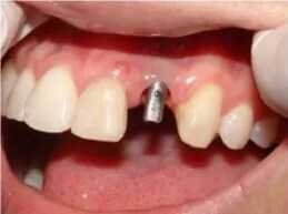
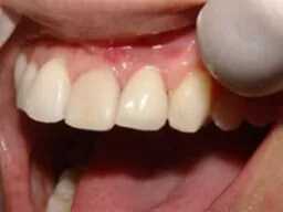
Імплантація зуба – це актуальна процедура, яка дозволяє відновити як естетичні якості, так і нормалізувати дикцію, виправити прикус. Хірургічна процедура має на увазі вживлення імплантату в кісткову тканину. Після загоєння до імпланту кріпиться зубна коронка. Даний метод дозволяє відтворити найбільш природну форму зубного ряду навіть у найважчих випадках втрати зубів. Враховуючи спосіб виконання хірургічної процедури, імплантація буває одно- та двоетапною. Протокол хірургічної процедури підбирається індивідуально з урахуванням особливостей клінічного випадку. При імплантації зуба враховується щільність кісткової тканини, ділянка для вживлення імпланта, і навіть анатомічні особливості розвитку зубощелепних структур.

• Класичні. Вони мають циліндричну форму й підходять для встановлення замість будь-якого зуба. Для їхнього закріплення потрібен великий обсяг кісткової тканини, оскільки на них припадає неабияке жувальненавантаження.
• Пластинчасті базальні. Вони чіпляються особливим бічним методом кріплення в кістці. Цей варіант призначений для випадків, коли сталося атрофування і традиційне впровадження неможливо зробити.
• Міні-імпланти. У такі формати мініатюрного розміру і не потребують значного розрізу ясна. Встановлення, зокрема, підходить для передніх зубів і відбувається в один сеанс.




Імпланти Osstem
від 14500 ₴
Імпланти Straumann
від 32000 ₴
Імпланти MegaGen
від 16500 ₴
Імпланти Nobel Biocare
від 33000 ₴
Перевірка стабільності імпланту
від 400 ₴