
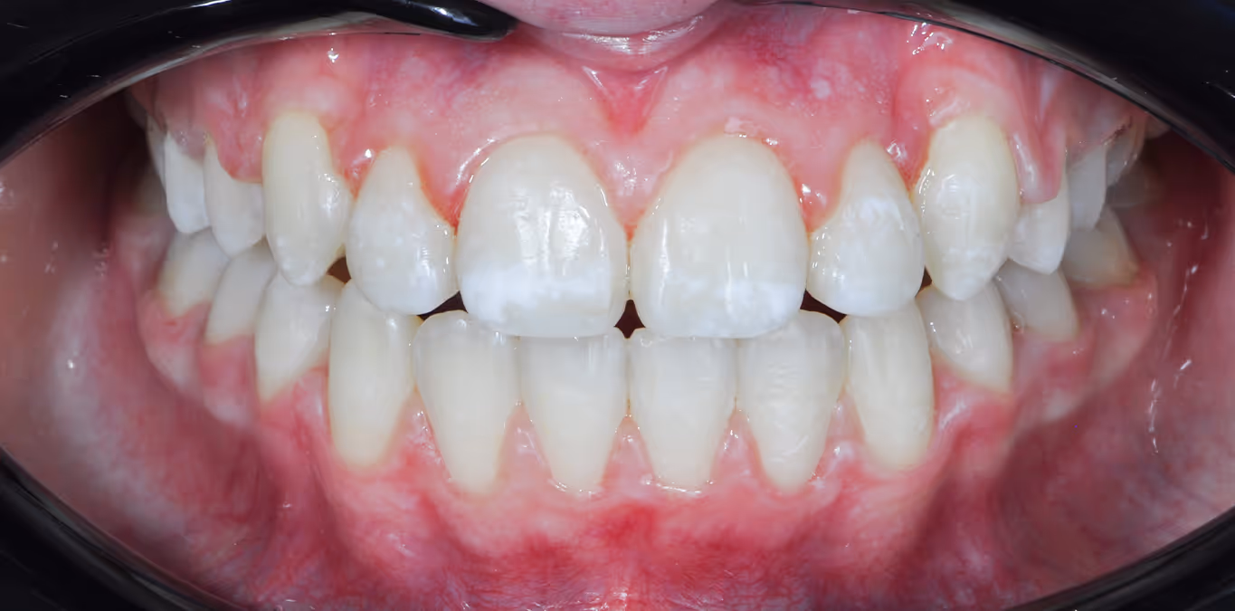
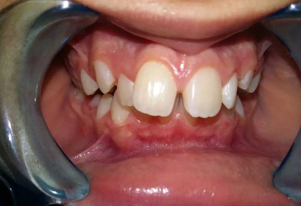
Ортодонтія займається діагностикою, профілактикою та лікуванням зубо-щелепних аномалій. Основне завдання ортодонтичного лікування — досягнення правильного положення зубів та щелеп, поліпшення функції жування та дихання, а також відновлення естетичного вигляду посмішки. Для цього використовуються різні конструкції , такі як брекети, капи, накладки та протези, що знімаються.
Завдяки використанню найсучасніших технологій та методик, ортодонти в O'Dent можуть усувати проблеми з зубо-щелепним апаратом швидко та безболісно. Тим самим скорочуючи час лікування та знижуючи дискомфорт для пацієнтів.




Брекети
від 7000 ₴
Ретейнери після брекетів
від 3200 ₴
Брекет-система Pitts 21
від 33000 ₴
Металеві брекети
від 7000 ₴
Керамічні брекети
від 14000 ₴
Пластинки на зуби
від 8000 ₴