
Терапевтична стоматологія — це важливий розділ стоматології, який займається діагностикою, лікуванням та профілактикою захворювань зубів, навколозубних тканин, а також слизової оболонки ротової порожнини.
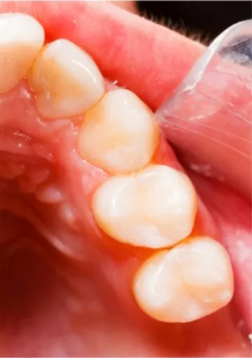
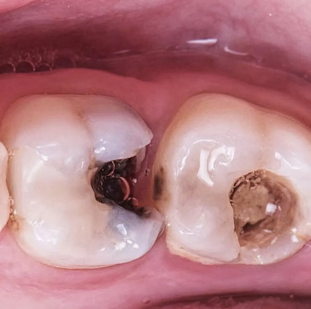
Основні аспекти терапевтичної стоматології включають: лікування зубів уражених карієсом, включаючи їх очищення від ураженої тканини та пломбування. Лікування некаріозних ушкоджень зубів, таких як підвищене стирання, клиноподібний дефект чи травма зуба. Пломбування та лікування зубних каналів, особливо при захворюваннях, таких як пульпіт. Профілактика захворювань зубів та ясен, включаючи професійну гігієну порожнини рота та навчання правильної гігієни. Реставрація зубів після травм та усунення вроджених дефектів форми або кольору.




Лікування карієсу
від 1100 ₴
Лікування пульпіту
від 2000 ₴
Лікування зубів під седацією
від 4500 ₴
Пломбування зубів
від 1100 ₴
Фотополімерна пломба
від 1750 ₴
Консультація стоматолога
від 600 ₴
Видалення нерва зуба
від 700 ₴